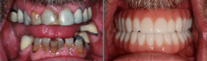
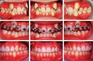
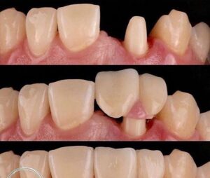
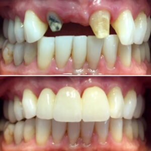
BracesCompositeCrown & BridgeDenturesGum SurgeryRestorationsScaling & PolishingTeeth whiteningVeneer Braces Braces Braces Braces Composite Composite Crown & Bridge Crown & Bridge Dentures Dentures Gum Surgery Gum Surgery Gum Surgery Restorations Restorations Restorations Restorations Scaling & Polishing Scaling & Polishing Teeth Whitening Teeth Whitening Veneer